Image Gallery: Regenerating lizard tail

ID
6968
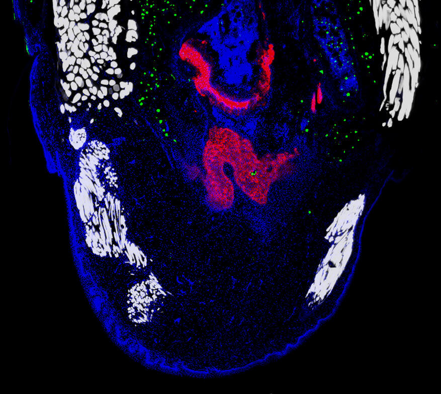
The interior of a regenerating lizard tail 14 days after the original tail was amputated. Cell nuclei (blue), proliferating cells (green), cartilage (red), and muscle (white) have been visualized with immunofluorescence staining.
Source
Thomas Lozito, University of Southern California.