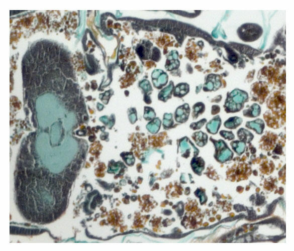
Image Gallery: Cross section of a Drosophila melanogaster pupa lacking Draper

ID
2759
In the absence of the engulfment receptor Draper, salivary gland cells (light blue) persist in the thorax of a developing Drosophila melanogaster pupa. See image 2758 for a cross section of a normal pupa that does express Draper.
Source
Christina McPhee and Eric Baehrecke, University of Massachusetts Medical School
Topics